Dịch vụ của Tech Dental
Sức khỏe nụ cười là khởi đầu cho một Sức khỏe toàn diện.

Dịch vụ thiết kế

Tech Dental có độ ngũ KTV có nhiều năm kinh nghiệm cùng với công nghệ và trang thiết bị hiện đại nhất, chúng tôi cung cấp dịch vụ thiết kế cầu chụp, thiết kế customize bar implant với chất lượng cao nhất
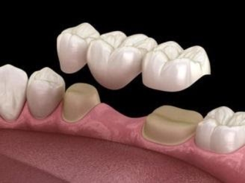
Thiết kế Cầu - Chụp
  • Độ ngũ Kỹ thuật viên tay nghề cao của Tech Dental bảo đảm gửi cho Quý đối tác các file thiết kế chất lượng bằng công nghệ cao cấp kỹ thuật số.
  • Tất cả các sản phẩm đều được bảo hành và chỉnh sửa theo yêu cầu của khách hàng.
Thiết kế Abutment/Bar implant
  • Abutment/Bar trong implant là những thành phần quan trọng trong quá trình cấy ghép nha khoa. Tại Tech Dental chúng tôi thiết kế Abutment và Bar trong implant với sự hỗ trợ của thiết bị công nghệ hiện đại nhất.
  • Abutment: Là một cấu trúc nhỏ được gắn trực tiếp lên trụ implant đã được cấy vào xương hàm. Abutment có vai trò kết nối giữa trụ implant và mão răng (crown) hoặc các cấu trúc răng giả khác. Thiết kế abutment tùy thuộc vào vị trí cấy ghép, loại răng giả và tình trạng của mô nướu. Có hai loại chính: Abutment tiêu chuẩn: Sử dụng cho các ca đơn giản, có hình dáng tiêu chuẩn. Abutment cá nhân hóa: Được thiết kế riêng cho từng bệnh nhân để phù hợp với hình dạng và kích thước răng, mang lại thẩm mỹ tốt hơn.
  • Bar implant: Là một thanh kim loại được thiết kế để kết nối với các trụ implant trong trường hợp cấy ghép nhiều răng hoặc toàn hàm. Bar implant giúp tạo ra một nền tảng vững chắc để gắn các răng giả, như cầu răng (bridge) hoặc hàm giả tháo lắp. Thiết kế bar giúp phân phối đều lực nhai lên nhiều implant, giúp giảm áp lực lên từng trụ.

DỊCH VỤ IN 3D

Tại Tech Dental chúng tôi có các thiết bị hiện đại có thể in các loại vật liệu như: In máng, In mẫu hàm, In kim loại 3D
In máng
In máng
In máng
In máng
Tech Dental đảm bảo cho quý khách hàng các sản phẩm máng phẫu thuật được in 3D với độ chính xác tuyệt đối bằng công nghệ cao cấp nhất.
In 3D kim loại
In 3D kim loại
In 3D kim loại
In 3D kim loại
Máy in 3D kim loại cho phép tạo ra các sản phẩm Nha Khoa như cầu, chụp, thanh bar, hàm khung tháo lắp,… 
In hàm mẫu
In hàm mẫu
In hàm mẫu
In hàm mẫu
Nền hàm và răng được in 3D bằng vật liệu dành riêng cho hàm tháo lắp, an toàn và có độ chính xác cao

Dịch vụ CAD/CAM/CNC

Tại Tech Dental có các trang thiết bị và máy tính hiện đại cùng đội ngũ thiết kế giàu kinh nghiệm trong thiết kế CAD/CAM
Dịch vụ CAD/CAM/CNC

Cắt customized Abutment

Abutment là một trong những sản phẩm mà đội ngũ của Tech Dental có nhiều kinh nghiệm có thể đáp ứng những yêu cầu khắt khe nhất từ khách hàng, chúng tôi sử dụng:

  • Kỹ thuật viên nhiều năm kinh nghiệm
  • Phần mềm thiết kế 3Shape
  • Hệ thống thiết bị Arum