1. Giới thiệu
Men răng là lớp bảo vệ bên ngoài của răng, đóng vai trò quan trọng trong việc bảo vệ răng khỏi các tác nhân gây hại từ bên ngoài như vi khuẩn, axit, và lực nhai. Tuy nhiên, khi men răng bị yếu đi, răng dễ bị tổn thương, nhạy cảm, và dễ bị sâu răng. Bài viết này sẽ giúp bạn hiểu rõ hơn về dấu hiệu nhận biết men răng yếu và các phương pháp phục hồi hiệu quả để giữ cho hàm răng luôn khỏe mạnh.
Men răng: Lớp bảo vệ răng của bạn
2. Dấu hiệu nhận biết men răng yếu
2.1 Răng nhạy cảm
Một trong những dấu hiệu phổ biến nhất của men răng yếu là răng trở nên nhạy cảm hơn với nhiệt độ và thực phẩm. Khi men răng bị mòn, lớp ngà răng bên dưới lộ ra, khiến răng dễ bị kích thích bởi đồ ăn, đồ uống nóng hoặc lạnh.
2.2 Răng bị ố vàng
Men răng mòn đi làm lộ ra lớp ngà răng có màu vàng bên dưới, khiến răng trở nên ố vàng và mất đi độ sáng bóng tự nhiên.
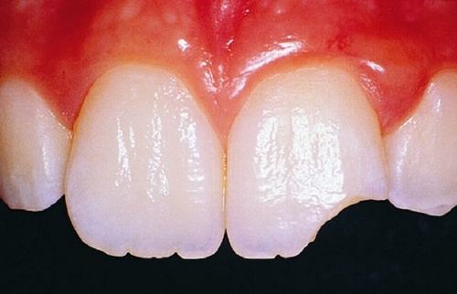
2.3 Răng bị mẻ hoặc nứt
Men răng yếu dễ bị tổn thương bởi các lực nhai mạnh hoặc các thói quen xấu như cắn đồ cứng, nghiến răng. Điều này có thể dẫn đến răng bị mẻ, nứt, hoặc thậm chí gãy.

Răng bị sứt mẻ
2.4 Sâu răng
Khi men răng bị yếu, vi khuẩn dễ dàng tấn công và gây ra sâu răng. Men răng yếu không đủ khả năng bảo vệ răng khỏi các tác nhân gây hại, dẫn đến việc hình thành các lỗ sâu trên bề mặt răng.

Sâu răng
2.5 Răng bị mòn
Men răng yếu dễ bị mòn đi dưới tác động của axit từ thực phẩm, đồ uống có gas, hoặc do thói quen chải răng quá mạnh. Điều này làm giảm độ dày của men răng và làm lộ ngà răng bên dưới.
3. Nguyên nhân khiến men răng yếu
3.1 Vệ sinh răng miệng không đúng cách
Chải răng quá mạnh hoặc sử dụng bàn chải đánh răng có lông cứng có thể làm mòn men răng. Ngoài ra, việc không chải răng đều đặn hoặc không sử dụng chỉ nha khoa cũng góp phần làm tích tụ mảng bám và cao răng, gây hại cho men răng.
3.2 Chế độ ăn uống
Các thực phẩm và đồ uống có chứa axit như cam, chanh, cà chua, nước ngọt có gas, rượu bia có thể làm mòn men răng. Đặc biệt, việc ăn vặt thường xuyên hoặc tiêu thụ nhiều đồ ngọt cũng tạo điều kiện cho vi khuẩn tấn công men răng.
3.3 Thói quen xấu
Thói quen nghiến răng, cắn móng tay, nhai đồ cứng có thể gây tổn thương men răng. Ngoài ra, hút thuốc lá cũng là một yếu tố góp phần làm yếu men răng và gây ra các vấn đề răng miệng khác.
3.4 Yếu tố di truyền
Một số người có yếu tố di truyền khiến men răng của họ mỏng và yếu hơn bình thường. Điều này khiến răng dễ bị tổn thương và mài mòn hơn.
3.5 Các vấn đề sức khỏe
Một số bệnh lý như tiểu đường, loãng xương, hoặc các bệnh về dạ dày như trào ngược dạ dày thực quản (GERD) cũng có thể ảnh hưởng đến sức khỏe men răng. Axit dạ dày khi trào ngược lên miệng có thể làm mòn men răng và gây ra nhiều vấn đề khác.
4. Các phương pháp phục hồi men răng yếu hiệu quả
4.1 Thay đổi chế độ ăn uống
- Giảm tiêu thụ thực phẩm có axit: Hạn chế tiêu thụ các loại thực phẩm và đồ uống có chứa axit như cam, chanh, cà chua, nước ngọt có gas. Nếu phải tiêu thụ, hãy súc miệng ngay sau khi ăn hoặc uống để giảm thiểu tác động của axit lên men răng.
- Tăng cường thực phẩm chứa canxi và vitamin D: Các thực phẩm như sữa, phô mai, sữa chua, cá hồi, và các loại rau lá xanh giúp củng cố men răng và duy trì sức khỏe răng miệng.
4.2 Chăm sóc răng miệng đúng cách
- Sử dụng bàn chải mềm: Chải răng nhẹ nhàng bằng bàn chải mềm để tránh làm tổn thương men răng. Sử dụng kem đánh răng chứa fluoride để bảo vệ và củng cố men răng.
- Sử dụng chỉ nha khoa và súc miệng: Sử dụng chỉ nha khoa để làm sạch kẽ răng và súc miệng bằng dung dịch kháng khuẩn để loại bỏ vi khuẩn và mảng bám.
4.3 Sử dụng các sản phẩm bảo vệ men răng
- Kem đánh răng chứa fluoride: Fluoride giúp củng cố men răng và làm giảm nguy cơ sâu răng. Sử dụng kem đánh răng chứa fluoride hàng ngày là một trong những cách hiệu quả nhất để bảo vệ men răng.
- Nước súc miệng chứa fluoride: Sử dụng nước súc miệng chứa fluoride để tăng cường khả năng bảo vệ men răng và giảm nguy cơ sâu răng.
4.4 Điều trị chuyên sâu tại nha khoa
- Sử dụng sealant: Sealant là một lớp phủ mỏng được bôi lên bề mặt nhai của răng, giúp bảo vệ men răng khỏi tác động của vi khuẩn và axit. Đây là một phương pháp phòng ngừa hiệu quả cho những ai có nguy cơ cao bị sâu răng.
- Phủ composite: Nếu men răng bị mòn nặng, nha sĩ có thể sử dụng vật liệu composite để phủ lên bề mặt răng, giúp phục hồi chức năng và thẩm mỹ cho răng.
- Điều trị fluoride chuyên sâu: Nha sĩ có thể sử dụng gel hoặc varnish fluoride để bôi lên răng, giúp tăng cường men răng và giảm nguy cơ sâu răng.
4.5 Thay đổi thói quen xấu
- Ngừng nghiến răng: Nếu bạn có thói quen nghiến răng, hãy tham khảo ý kiến nha sĩ để sử dụng máng bảo vệ răng vào ban đêm.
- Tránh nhai đồ cứng: Hạn chế nhai những vật cứng như đá, bút, hay các loại thực phẩm cứng để bảo vệ men răng.
5. Kết luận
Men răng yếu là một vấn đề phổ biến nhưng có thể phòng ngừa và điều trị hiệu quả. Bằng cách nhận biết sớm các dấu hiệu của men răng yếu, thay đổi chế độ ăn uống và thói quen chăm sóc răng miệng, sử dụng các sản phẩm bảo vệ men răng, và điều trị chuyên sâu tại nha khoa khi cần thiết, bạn có thể giữ cho hàm răng luôn khỏe mạnh và sáng bóng. Hãy luôn duy trì thói quen chăm sóc răng miệng đúng cách và thăm khám nha sĩ định kỳ để bảo vệ sức khỏe răng miệng tốt nhất.
Tech Dental - Nụ cười của bạn, công nghệ của chúng tôi!
