Có nên niềng răng không?
I. Độ tuổi niềng răng tốt nhất
1. Niềng răng ở trẻ em
-
Độ tuổi từ 7-14: Theo Hiệp hội Nha khoa Hoa Kỳ, trẻ em nên đi khám nha sĩ chỉnh nha lần đầu vào khoảng 7 tuổi. Đây là thời điểm răng sữa bắt đầu được thay thế bằng răng vĩnh viễn. Việc niềng răng ở độ tuổi này giúp dễ dàng điều chỉnh các vấn đề về răng và hàm, vì xương hàm vẫn đang phát triển. Điều này giúp chỉnh nha hiệu quả hơn và ít đau đớn hơn.
-
Lợi ích: Chỉnh nha sớm có thể ngăn ngừa các vấn đề nghiêm trọng về răng miệng sau này. Niềng răng ở trẻ em giúp điều chỉnh răng mọc lệch, khoảng cách giữa các răng, răng mọc chen chúc và hàm hô hoặc móm.
2. Niềng răng ở thanh thiếu niên
-
Độ tuổi từ 12-18: Đây là giai đoạn phổ biến nhất để niềng răng, vì hầu hết các răng vĩnh viễn đã mọc đầy đủ. Xương hàm ở độ tuổi này vẫn đang phát triển, cho phép điều chỉnh dễ dàng và hiệu quả.
-
Lợi ích: Niềng răng trong độ tuổi này thường ngắn hơn và ít phức tạp hơn so với người lớn. Bên cạnh đó, việc niềng răng trong giai đoạn này giúp thanh thiếu niên tự tin hơn về ngoại hình và nụ cười của mình trong các giai đoạn phát triển quan trọng của cuộc sống.
3. Niềng răng ở người trưởng thành
-
Độ tuổi từ 18 trở lên: Niềng răng ở người trưởng thành ngày càng trở nên phổ biến nhờ vào các phương pháp chỉnh nha tiên tiến và các loại mắc cài thẩm mỹ như mắc cài sứ, mắc cài trong suốt (Invisalign).
-
Lợi ích: Niềng răng không chỉ giúp cải thiện thẩm mỹ mà còn giải quyết các vấn đề sức khỏe răng miệng như viêm nướu, sâu răng và khó khăn trong việc nhai. Tuy nhiên, quá trình chỉnh nha ở người lớn có thể kéo dài hơn và phức tạp hơn do xương hàm đã cứng.
II. Các trường hợp nên niềng răng
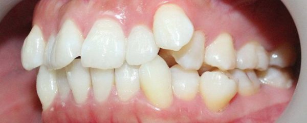
1. Răng mọc lệch, chen chúc
Răng mọc lệch và chen chúc là tình trạng phổ biến mà niềng răng có thể giải quyết. Khi các răng không có đủ không gian để mọc thẳng, chúng sẽ bị chen chúc và mọc lệch. Tình trạng này không chỉ ảnh hưởng đến thẩm mỹ mà còn gây khó khăn trong việc vệ sinh răng miệng, dẫn đến sâu răng và bệnh nướu.
Răng mọc lộn xộn
2. Khoảng cách giữa các răng
Khoảng cách giữa các răng quá rộng hoặc quá hẹp đều có thể gây ra vấn đề. Răng thưa làm cho nướu răng dễ bị tổn thương và viêm nhiễm. Ngược lại, khoảng cách quá hẹp có thể dẫn đến răng chen chúc và khó khăn trong việc làm sạch răng miệng. Niềng răng giúp điều chỉnh khoảng cách giữa các răng, tạo nên hàm răng đều đặn và dễ vệ sinh hơn.
3. Sai khớp cắn
-
Khớp cắn ngược (móm): Đây là tình trạng răng hàm dưới nằm trước răng hàm trên khi cắn. Khớp cắn ngược có thể gây ra khó khăn trong việc nhai và nói, đồng thời ảnh hưởng đến thẩm mỹ.
-
Khớp cắn chéo: Xảy ra khi một hoặc nhiều răng trên không khớp chính xác với răng dưới. Tình trạng này có thể gây mòn răng không đều và ảnh hưởng đến cơ hàm.
-
Khớp cắn sâu: Khi răng hàm trên che phủ quá nhiều răng hàm dưới. Khớp cắn sâu có thể gây tổn thương nướu và men răng.
-
Khớp cắn hở: Khi các răng hàm trên và dưới không chạm nhau khi cắn. Tình trạng này gây khó khăn trong việc nhai và nói.
4. Răng bị hô
Răng bị hô là tình trạng răng hàm trên nhô ra xa so với răng hàm dưới. Đây là một vấn đề phổ biến, không chỉ ảnh hưởng đến thẩm mỹ mà còn gây ra các vấn đề sức khỏe như khó khăn trong việc nhai và nguy cơ chấn thương răng hàm trên.
5. Vấn đề về hàm
Các vấn đề về hàm như hàm lệch, hàm hẹp hoặc hàm không cân đối có thể được điều chỉnh bằng niềng răng kết hợp với các phương pháp điều trị khác. Việc này giúp cải thiện chức năng nhai, nói và thẩm mỹ khuôn mặt.
III. Lợi ích của niềng răng
1. Cải thiện thẩm mỹ
Một nụ cười đẹp và hàm răng đều đặn giúp tăng sự tự tin và cải thiện ngoại hình. Niềng răng không chỉ giúp bạn có nụ cười đẹp mà còn làm cho khuôn mặt trở nên hài hòa hơn.
2. Tăng cường sức khỏe răng miệng
Răng đều đặn và khớp cắn đúng giúp việc vệ sinh răng miệng trở nên dễ dàng hơn, ngăn ngừa các vấn đề như sâu răng, viêm nướu và bệnh nha chu. Điều này giúp duy trì sức khỏe răng miệng lâu dài.
3. Cải thiện chức năng nhai và nói
Niềng răng giúp điều chỉnh các vấn đề về khớp cắn và răng lệch lạc, từ đó cải thiện chức năng nhai và nói. Điều này không chỉ giúp bạn ăn uống thoải mái mà còn cải thiện giao tiếp hàng ngày.
4. Ngăn ngừa các vấn đề về hàm
Khớp cắn sai lệch có thể gây ra các vấn đề về cơ hàm, dẫn đến đau đầu, đau cổ và các vấn đề về khớp thái dương hàm. Niềng răng giúp điều chỉnh khớp cắn, giảm nguy cơ các vấn đề này.
IV. Quá trình niềng răng
1. Khám và tư vấn
Bước đầu tiên trong quá trình niềng răng là đến khám và tư vấn tại nha khoa. Nha sĩ sẽ kiểm tra răng miệng, chụp X-quang và lập kế hoạch điều trị phù hợp với tình trạng răng của bạn.
2. Lên kế hoạch điều trị
Dựa trên kết quả kiểm tra và tư vấn, nha sĩ sẽ lập kế hoạch điều trị chi tiết, bao gồm thời gian niềng răng, loại mắc cài và các bước điều trị cần thiết.
3. Gắn mắc cài
Nha sĩ sẽ tiến hành gắn mắc cài lên răng và điều chỉnh dây cung để tạo lực kéo răng về vị trí mong muốn. Quá trình này có thể mất vài giờ và có thể gây khó chịu trong những ngày đầu.
4. Điều chỉnh và theo dõi
Trong suốt quá trình niềng răng, bạn sẽ cần đến nha khoa định kỳ để điều chỉnh mắc cài và kiểm tra tiến trình điều trị. Thời gian niềng răng thường kéo dài từ 1-3 năm, tùy thuộc vào tình trạng răng và kế hoạch điều trị.
5. Tháo mắc cài và duy trì kết quả
Sau khi hoàn tất quá trình niềng răng, mắc cài sẽ được tháo ra và bạn sẽ được hướng dẫn cách chăm sóc răng miệng. Nha sĩ có thể đề nghị sử dụng hàm duy trì để giữ răng ở vị trí mới, ngăn ngừa răng quay trở lại vị trí cũ.
V. Kết luận
Niềng răng là một phương pháp điều trị hiệu quả để cải thiện thẩm mỹ và sức khỏe răng miệng. Độ tuổi niềng răng tốt nhất thường là từ 7-18, nhưng người trưởng thành cũng có thể niềng răng để giải quyết các vấn đề về răng miệng. Các trường hợp nên niềng răng bao gồm răng mọc lệch, khoảng cách giữa các răng, sai khớp cắn, răng bị hô và các vấn đề về hàm. Quá trình niềng răng bao gồm khám và tư vấn, lên kế hoạch điều trị, gắn mắc cài, điều chỉnh và theo dõi, và cuối cùng là tháo mắc cài và duy trì kết quả. Việc niềng răng không chỉ mang lại nụ cười đẹp mà còn giúp tăng cường sức khỏe răng miệng và cải thiện chất lượng cuộc sống.
Tech Dental - Nụ cười của bạn, công nghệ của chúng tôi!

